堀部和経 W.S. 数学 と その周辺 「自宅内」
2018年 「7月の日記」 です。
Background figure by Horibe Kazunori

HOME「自宅」 「日記」の表紙
前の月へ 次の月へ

7月1日へ




次の日へ
@2018/7/31(火)
 大学から、講義の他に仕事をして欲しいとの依頼あり。
 今度の木曜日に。。。相談することに・・・
 水泳1800m



次の日へ
@2018/7/30(月)
 東高校の刈谷先生とランチ、久しぶりに「リトリート」へ
 送って、その足でプールへ、時間が無いので・・・
 水泳600m

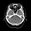
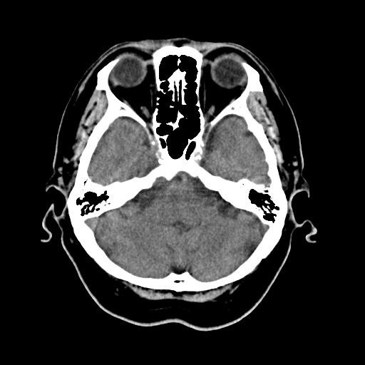
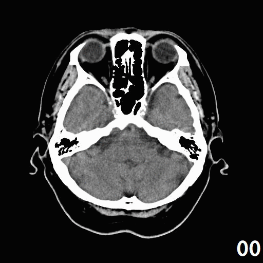
 眼科と内科にダブルで行く。
 月初に行った、人間ドックのデータを内科の先生のところに、持って行って、意見を聞く。
 デジタルデータを動かして見ながら、肺の画像診断をしていただいた。
 ありがたい。
 で、頭部のCT画像ファィルを、Gif-Aniを作った。
 そのアニメは、 ここです。



次の日へ
@2018/7/29(日)
 昨日の台風は、東から西に進んだ・・・初体験でした。




次の日へ
@2018/7/28(土)
 35年程度(前後)の同僚と、「同窓会」をしました。
 台風12号が、東から西へ近づいて来るのを気にしながらの開催。
 名古屋駅タワーズ12階「嘉鮮 (かせん)」から、営業時間の切り上げを電話で告げられる中・・・。
 予定通り、10名が集まりました。

 写真、左から、(私)堀部、岡本、小川、松本、岡田。
 右側、奥から、太田、羽田野、宇佐美、河村、中川、の皆さんです。
 台風は、足を遅めているようで、電車もまだ動いているようです。
 私は飲まないでいました。電車が止まったときの、バックアップ用の車を用意していたが・・・不要となり、1人ドライブ。



次の日へ
@2018/7/27(金)
 金曜会に行って来た。
 後半のスピーカーは、私。
 タイトルは、「虚数・ことはじめ」です。
 水泳1600m

 右の写真は、友田先生のVAIOのSSDを僕のVAIOに合体して、SSDのデータを救出しているところ。
 そうそう、「未来のミライ」を見ました・・・途中で、眠りに落ちました。



次の日へ
@2018/7/26(木)
 大同大の15回目・・・ラスト。とは言っても、来週も行くけどね・・・16回目
 
 水泳1300m



次の日へ
@2018/7/25(水)
 水泳1300m・・・そして、モスバのチキン照り・・・うまい。



次の日へ
@2018/7/24(火)
 谷口先生と、一緒にお昼を食べた。
 その後、喫茶店で写す。
 水泳1500m



次の日へ
@2018/7/23(月)
 月曜日の昼過ぎのプールは、結構空いていた。
 今日も空いていた。
 水泳1300m



次の日へ
@2018/7/22(日)
 金土と泳いでいないので、日曜だがプールへ。
 午後、それほど混んでいなくて・・・ラッキー。  水泳1300m
 今日の夕食、ほんの少しのお肉と野菜多めの鉄板プレート。




to YOU-TUBE



次の日へ
@2018/7/21(土)
 名古屋の金城ふ頭に、護衛艦いどもの一般公開に行ってきた。
 とても暑い日でしたが、海上ということで、それほどの熱気は感じなかった。
 参加者の熱気は感じましたが・・・。
 作ったページは、ここ「新館36階」です。



次の日へ
@2018/7/20(金)
 明日は、申し込んでいて、「当たった」、護衛艦「いずも」の乗船の日。
 金城ふ頭駅の前のテント集合です。
 たぶん、とっても暑いが、たのしみで・・・たのしみで。。。。
 どこまで見せてくれるんだろう。
 それから、。
 以前から思っていた、エスカレーターの乗り方のキャンペーンが始まる。



次の日へ
@2018/7/19(木)
 大同の前期講義も14回、あと1回とテスト回を残すのみ。
 それが終わると、夏季の休みと・・・
 水泳1200m
 空腹だと、77.7kgぐらいになります。  食事をしてからの計測では、78.2kgでした。



次の日へ
@2018/7/18(水)
 7月21日・土曜日の午後、護衛艦「いずも」の見学会に「当選?」しました。
 往復はがきで申し込んであったのですが・・・今日、はがきが戻ってきた。
 当日は、とても暑いだろうが・・・必ず参加したいと思っています。
 妻と、二人分当選でした。
 水泳1300m




次の日へ
@2018/7/17(火)
 春日井のプールが休みなので、土岐のSOGIにあるプールへ。
 JAF割引きで1000円と思っていたら・・・なんと、6月末でそのサービスが終わっていた・・・。
 なんと言うことだ・・・ひとり、1500円もするではないか・・・もう行かないでおこうと思った。
 水泳640mでした。




次の日へ
@2018/7/16(月)
 月曜日は、サンフロッグ春日井(プール)が休みになるので、通常は休みの月にプールに行った。
 さすが、夏休み直前の休日でした・・・。
 現在入場者数が700人を越えていた。
 いつも行くときは、80人も入場していると、多いなぁと思っていたが・・・(文字通り)桁違いでした。
 水泳1500m




次の日へ
@2018/7/15(日)
 家のリフォームの為の業者さんと、打ち合わせ。(13時から1時間程度でした。)




次の日へ
@2018/7/14(土)
 家のリフォームの為の業者さんと、打ち合わせ。(13時から1時間程度でした。)


 写真は、12日の県営名古屋空港のC130Hのタッチアンドゴー訓練の1コマ。



次の日へ
@2018/7/13(金)
 昨夜というか、今朝までいろいろビーズ関連の作業をしていました。
 ここ に、成果をアップしました。

 水泳1500m
 
 今日の「金曜会」の様子。



次の日へ
@2018/7/12(木)
 このところ、「数学」をやっていて、ビーズは久しぶり。
 スワロフスキー #5000 2mm 168個と、
 トーラスの輪の中心部分にBlue の 3mm 使用。
 水泳1300m




次の日へ
@2018/7/11(水)
 妻が、。左手2か所蜂に刺されたらしい。
 病院に行った。
 すごい包帯を巻いて帰ってきた。
 蜂さされって、こんな治療するんだ・・・。
 びっくり。
 水泳1200m




次の日へ
@2018/7/10(火)
 妻と、水泳1200m
 
 日本の郵便はえらい。もう今日届いたそうだ。
 我が国では、まあこれが当然なんだけれど・・・。



次の日へ
@2018/7/9(月)
 東高校の情報の授業、夏休み前の最後の回。
 次は、9月です。
 知り合い(藤原さん)の出産のニュースを知ったので、「御祝」を郵送した。



次の日へ
@2018/7/8(日)
 岐阜県の飛騨や西濃地方にも特別警報が発令されたのに、地元の天気。



次の日へ
@2018/7/7(土)
 7/28土曜日に、35年ほど前の同僚との「同窓会?・飲み会?」の企画を進めている。
 現在、10名参加予定。
 最大、12名を予想していたが・・・だいたい、想定通り。
 水泳1000m
 写真は、7/5の朝、寝室から見えた鳥2羽、・・・手すりの左端と、右側の真ん中あたり。



次の日へ
@2018/7/6(金)
 この頃、サッカーWCを見ていて、睡眠時間・・・バラバラ。  水泳1000m




次の日へ
@2018/7/5(木)
 大学の講義も前期残すところ数回となった、成績処理のルールなど再確認しなくては・・・

 水泳1000m
 写真は、先日届いた、「ブナ木球17mm-17.5mm・2mm貫通穴」5000個の一部



次の日へ
@2018/7/5(木)
 大学の講義も前期残すところ数回となった、成績処理のルールなど再確認しなくては・・・

 水泳1000m
 写真は、先日届いた、「ブナ木球17mm-17.5mm・2mm貫通穴」5000個の一部



次の日へ
@2018/7/4(水)
 水泳1200m
 
 水泳のための7月から来年6月までの、年間臨時予算20万円を計上し、すぐさま可決成立。。。。自分で。




次の日へ
@2018/7/3(火)
 朝から、妻に連れられて「人間ドック」へ。
 オプションのCTを3種類も頼んだので・・・「ン」万円アップ。
 「画像データをくれるかと聞いて、くれたら受ける」といったので、「発注」しました。
 一部は紙データ、他はCDで渡すということで、頼みました。
 1,2週間で送られてくるそうです。


 ここから、「ドック」の本題でしょうね。  検査の結果は・・・・チョー、バッド・・・
 強面の院長らしい人が、「病気の塊」みたいな事を言う・・・・、その上「フォアグラ」と申される。
 で、「無視」したいが、そうもいかないので・・・『運動(水泳)をリスタートします。』とここで゜堅い決意表明をしておこう。
 今日から水泳ReStart、700m



次の日へ
@2018/7/2(月)
 東高校の情報は、今日から2学期の出席簿になりました。
 いつも(毎月)の眼科へ通う日。
 眼圧も、良い感じで押さえられていて「いいですね・・・この調子」って、医者に言われました。



次の日へ
@2018/7/1(日)
 フローリングの色修正「化粧コーティング」で、普通の部屋になりました。
 いろいろ家具を入れるのは、少し待って・・・養生してから置くことにします。



TOPに戻る